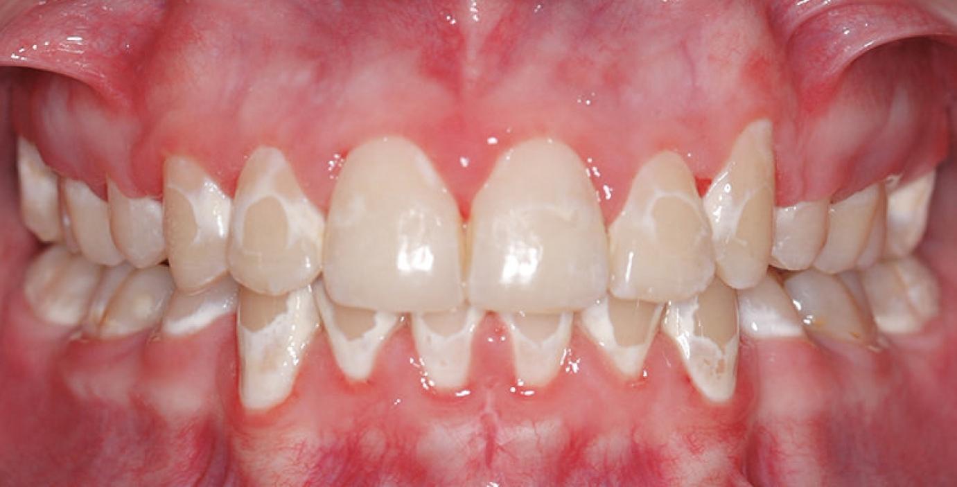
Fehér foltok a fogon

Attól függően, hogy a foltok fogszabályozás közben vagy már előtte megjelentek, beszélhetünk kezdődő fogszuvasodásról vagy zománcfejlődési hibáról. A fogszabályozó készülék mellett megjelenő fehéredés szinte minden esetben ásványi anyag kioldódást jelez a fogból, tehát zománc felpuhulását mutatja. Ez a szuvasodás első jele, ami még visszafordítható. Annak ellenére, hogy a zománc a keménységét visszanyeri, az eredeti színét sajnos nem! A fehér folt sokszor végleges. A kezelések előtt észlelhető foltok zománcfejlődési rendellenességre utalnak, melynek oka lehet akár túlzott fluorid bevitel, koraszülés, de egyéb öröklött hajlam is szerepet játszhat benne.