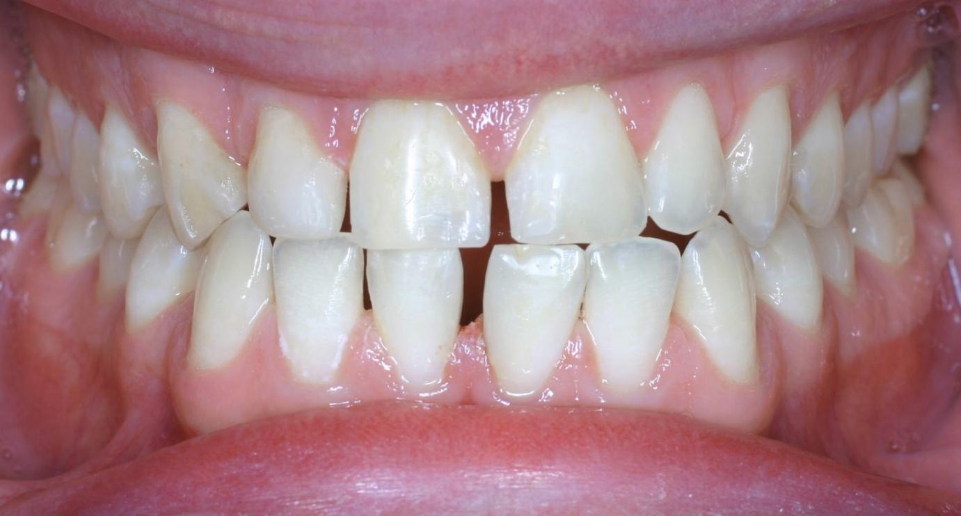
Élharapás

A fogszabályozásban élharapásnak hívjuk azt az elváltozást, amikor se a felső, se az alsó metszők nem harapnak előrébb, mint a másik. Összecsukott állapotban a felső és alsó metszők éle összeér, így erősen koptatják egymást. Ez a harapási forma nagyon gyorsan visszafordíthatatlan károsodást okozhat mind a felső, mind az alsó metszőfogakban, emiatt fontos a fogszabályozási kezelés mihamarabbi megkezdése.