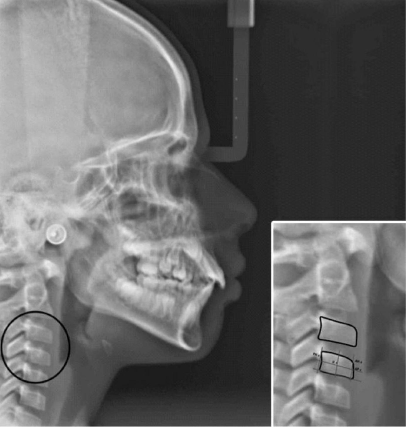
Csontérettség vizsgálata

Azokban az esetekben, amikor az állcsontok hibás mérete vagy pozíciója felmerül a fogszabályozó kezelés megkezdésekor, célszerű csontérettség vizsgálatot végezni. Szerencsére speciális beavatkozást nem igényel a biológiai kor meghatározása. A teleröntgen felvételen a csigolyák formájából lehet következtetni arra, hogy az állcsontokban mennyi növekedési potenciál maradt még, amit felhasználhatunk a fogszabályozó kezelés közben.