Esetbemutatás
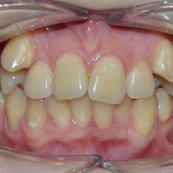
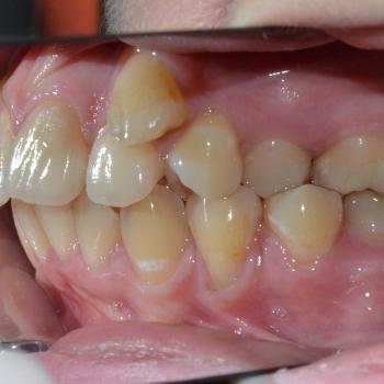
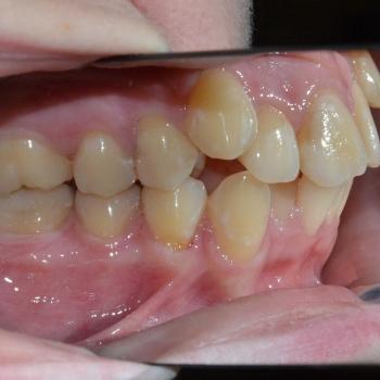
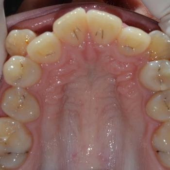
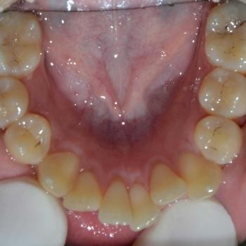
Luca saját elhatározásból, az alsó és felső fogív torlódása, de főleg a két felső szemfog ectopiás helyzete miatt keresett fel. Már elsőre pillantásra látható volt és Luca is sejtette, hogy foghúzások nélkül az Ő esete nem oldható meg,de szerencsére ez nem tántorította el a céljától.
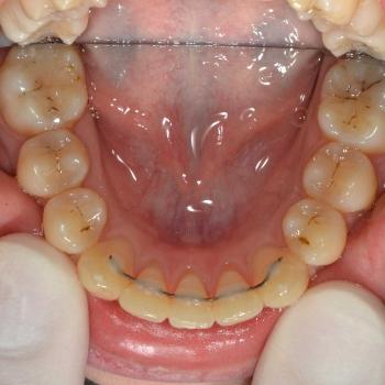
Közös döntés eredményeként fém önligírozó fogszabályozót választottunk, illetve a felső kisőrlők, illetve egy darab alsó metszőfog eltávolítására került sor. Az alsó metszőfog eltávolítása elsőre szokatlannak tűnhet, de a fogszabályozásban ez bevett gyakorlat hiszen esztétikai problémát nem okoz és a húzás által biztosított plusz hely rögtön a megfelelő helyen áll a rendelkezésünkre.
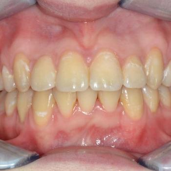
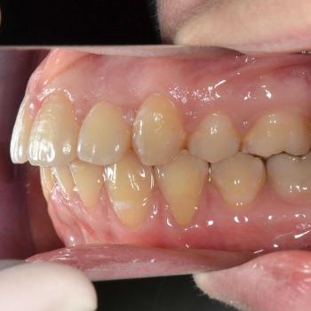
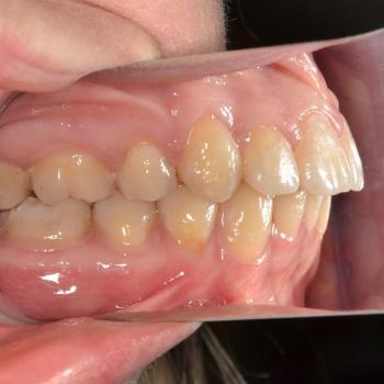
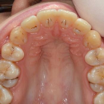
A kezelés befejeztével minden felmerülő problémát és eltérést sikerült megoldanunk, így egy funkcionálisan és esztétikailag is szép eredményt kaptunk.
A kezelés időtartama: 2 év









