Esetbemutatás
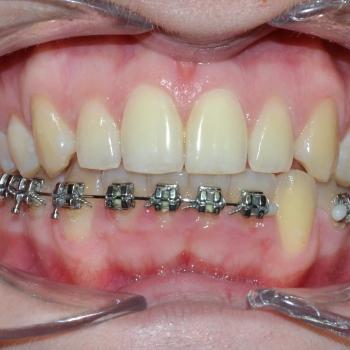
Katalin egy már korábban elkezdett fogszabályozó kezelés közben keresett fel azzal a kérésével, hogy az eddig elért eredménynél, mellyel nem elégedett, próbáljunk meg egy esztétikailag és funkcionálisan is jobb állapotot létrehozni. Természetesen igent mondtam a felkérésre, hiszen én is láttam, hogy mind az alsó középvonal eltolódás, mind a bal oldalon kialakult enyhe nyitottharapás, illetve csücsök-csücsök érintkezés a szemfogak területén korrigálást kíván.
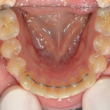
A kezelést a korábban feltett fogszabályozó eltávolításával kezdtük és a fogak tengelyállásának megfelelően hagyományos fém fogszabályozót ragasztottunk fel mindkét fogívre. A fogak újraegyenesítése után a nyitott és csücsök-csücsök harapás korrigálására egy speciális ligualis (belső oldali) ívet használtunk fel, mellyel a nyelv irányába tudtuk dönteni a bal alsó szemfogat. Ezzel megteremtettük a lehetőséget, hogy intermaxilláris gumihúzásokat alkalmazva egymáshoz igazítsuk az alsó és felső fogazatot.
A kezeléssel sikerült teljesítenünk Katalin kívánságát, egy számára is tökéletes harapást alakítottunk ki, miközben a mosoly esztétikája is jelentősen javult. Hogy az elért eredmény könnyebben stabilizálódjon, a kivehető retenciós fóliák mellé fix retainer felragasztására is sor került.
A kezelés teljes időtartama: 1.5 év









