Esetbemutatás
Zoltán a fogai általános ellátása, illetve az alsó foghiányok pótlása miatt keresett fel. Már az első találkozásunk alkalmával fény derült arra, hogy az ő esetében többről van szó, mint a tömések cseréje, illetve a hiányok implantációs pótlása, hiszen a fogak elvesztése miatt a felső őrlők erősen megsüllyedtek és elvették a lehetőséget egy fogszabályozást nélkülöző fogpótástól. Emiatt, illetve a torlódott fogazat és mélyharapás megoldásának esélyeként preprotetikai, azaz a fogpótlást megelőző fogszabályozó kezelés mellett döntöttünk.
A kezeléshez Zoltán kerámia önligírozó fogszabályozót választott, melyet bite turbo harapásemelővel és a felső fogívben részleges lingualis (azaz belső oldali) fogszabályozóval egészítettünk ki, annak érdekében, hogy egyenletesen tudjuk megemelni a felső nagyőrlők megsüllyedt külső és belső csücskeit is.
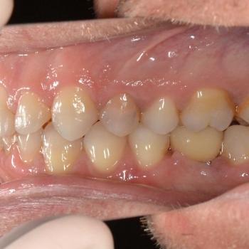
A kezelés eredményeként egy esztétikailag és funkcionálisan is szép fogívet kaptunk, illetve lehetővé vált a hiányzó alsó nagyőrlők implantációs pótlása is. Az implantációs pótlást szájsebész szakorvos kolléga végezte el, melyhez speciális csavarral rögzített koronát választott. Ennek előnye, hogy ínygyulladás vagy egyéb probléma esetén a korona roncsolás nélkül eltávolítható és a kezelés után visszahelyezhető. A koronák rágófelszínén a sötétebb foltok ezen csavarok helyét jelölik.
A kezelés időtartama: 2 év 2 hónap









