Esetbemutatás
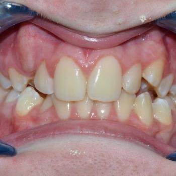
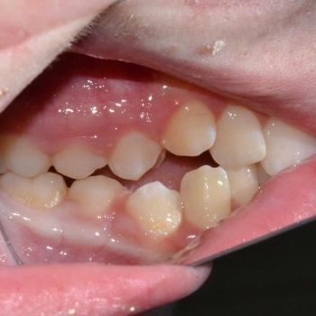
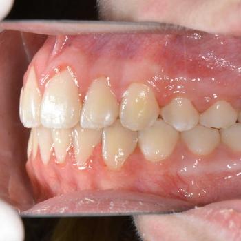
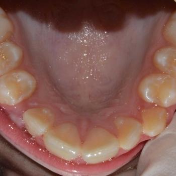
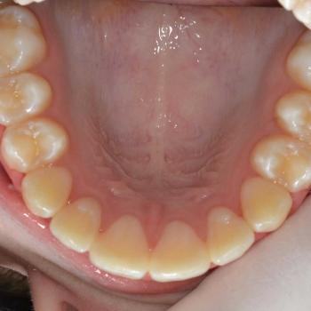
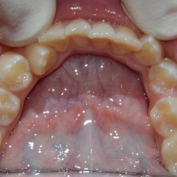
Kíra és édesanyja egy kollegám javaslatára kerestek fel a rögzített fogszabályzó számára legoptimálisabb időszakban, a tejfogak leváltása után, de még a 7-es fog előtörése előtt. Az első konzultáció alkalmával fény derült az alsó és felső fogív nagymértékű torlódására, a jobb felső szemfog kiszorult helyzetére és következményes felső középvonal eltolódására, illetve az enyhe mélyharapásra. A röntgenek kiértékelése után ez a kórkép kiegészült az alsó és felső metszőfogak hátradőlt pozíciójával, ami a kezelést nagyban megkönnyítette, mert lehetőséget adott mindkét fogív meghosszabbítására, így helynyerésre a torlódott fogazat számára.
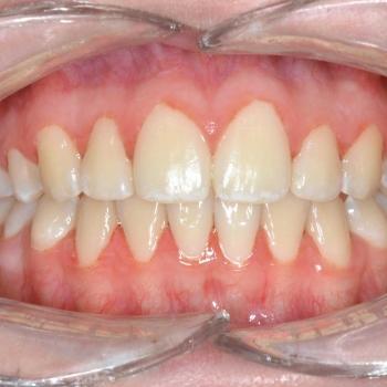
Ennek megfelelően a kezelés kizárólag alsó és felső hagyományos fém fogszabályozót tartalmazott bite turbo harapásemeléssel kiegészítve, illetve a harapás finombeállításához különböző intermaxilláris gumihúzásokkal.
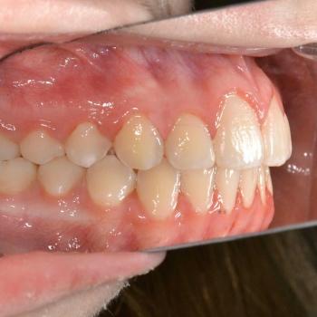
A kezelés megoldotta az összes fogszabályozással kapcsolatos problémát, így egy funkcionálisan és esztétikailag is megfelelő harapást kaptunk.
A kezelés teljes időtartama: 2 év









