Esetbemutatás
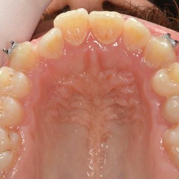
János egy másik fogorvos által befejezett, illetve később részlegesen újrakezdett fogszabályozó kezelés sikertelensége miatt keresett fel rendelőmben. Az első konzultáció alkalmával több esztétikai és funkcionális hibát is észrevettünk, többek között keresztharapást, enyhe nyitott harapást, torlódást, egyoldali Class II harapási eltérést, az alsó és felső őrlőfogak egymással nem harmonizáló dőlését, illetve az alsó középvonal funkció közbeni eltolódását balra.
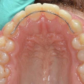
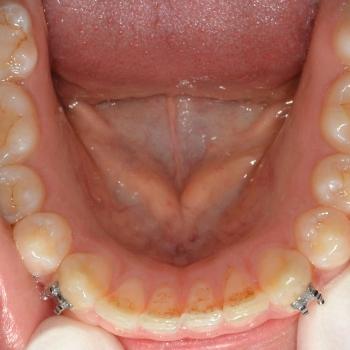
A kezeléshez János hagyományos fém fogszabályozót választott, melyet kiegészítettünk a legkülönfélébb intermaxilláris gumihúzásokkal, illetve egy speciális belső oldali fogszabályozó ívvel, ami segített az alsó őrlőfogakat a nyelv irányába dönteni.
János kitartásának hála a kezelés végén tökéletes esztétikai és funkciós eredményt értünk el.
A kezelés teljes időtartama: 1év 9 hónap









