Esetbemutatás
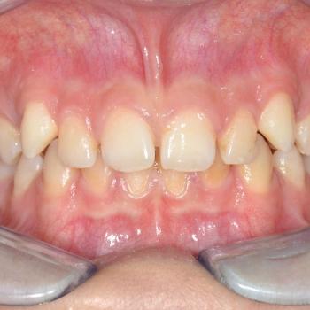
Nándi és édesanyja esztétikai okokból, a kiálló szemfogak és a réses felső metszőfogak miatt kerestek fel. Az első konzultáció alkalmával ezen túlmenően komoly helytöbbletet fedeztünk fel az alsó fogívben, illetve mélyharapást és a szemfogak területén Class II-es harapási eltérést tapasztaltunk.
A kezelési terv természetesen az összes eltérést figyelembe vette és ennek megfelelően a problémák megoldásához rögzített fogszabályozót, EVA-platte harapásemelőt és különböző intermaxilláris gumikat használtunk.
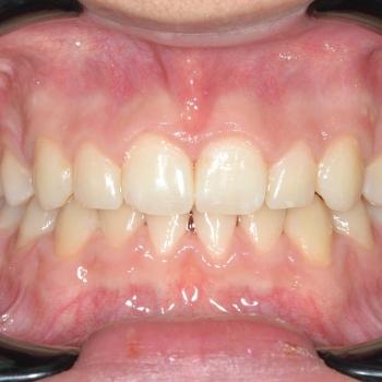
Nándi kitartásának és az előre megtervezett lépéseknek hála tökéletes funkciót és esztétikai végeredmény értünk el.
A kezelés teljes időtartama: 2 év 6 hónap









