Esetbemutatás
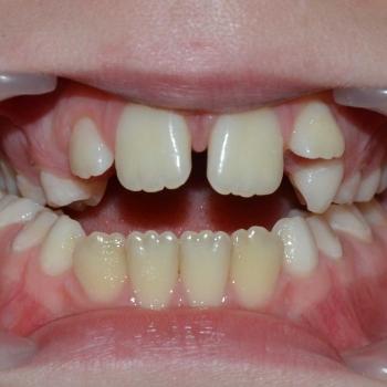
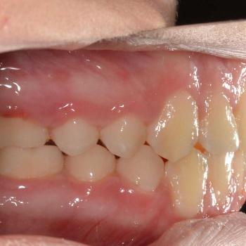
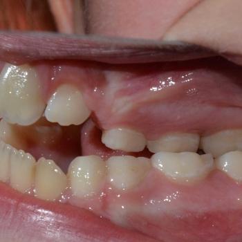
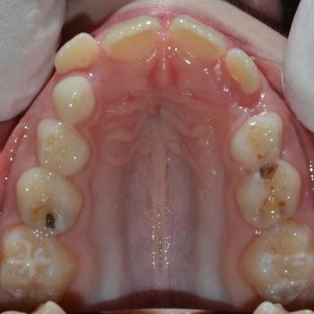
Csenge és édesanyja még vegyesfogazati időszakban, az egyetemen kerestek fel többszörös funkciós és esztétikai problémák miatt. Az első vizsgálat alkalmával súlyos nyitottharapást, keresztharapást, középvonal eltolódást, Angle II. osztályú eltérést, nyelvlökéses nyelést, helyhiányt diagnosztizáltunk, illetve elképesztő ritkaságként felcserélődött szemfog-kisőrlő csírákat találtunk a jobb oldalon.
Az eltérések mennyiségéből és súlyosságából fakadóan kizárólag többlépcsős kezelés jöhetett szóba, mely logopédiai kezelést, nyelvlökésgátló rácsot tartalmazó kivehető fogszabályozót, HYRAX készüléket, headgear-t, intermaxilláris gumikat és hagyományos fém fogszabályozót is igénybe vett.
Csenge kitartásának hála az évek alatt szinte minden eltérést sikerült korrigálni és mind funkcionálisan, mind esztétikailag kimagasló eredményt értünk el a felcserélődött fogak okozta ínylefutási aszimmetria ellenére is, mely korrekciós ínyműtéttel akár korrigálható is a későbbiekben!
A kezelés teljes időtartama: 5 év









