Esetbemutatás
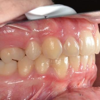
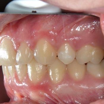
Benjamin és édesanyja az alsó és felső fogíven tapasztalható torlódás miatt kerestek fel, ám az első vizsgálat alkalmával fény derült a jobb felső 5-ös fog csírahiányára, mélyharapásra és féloldali Angle II-es harapási eltérésre is.
A kezelést hagyományos fém fogszabályozóval kezdtük el, melyet bite turbo harapásemelővel egészítettünk ki. A kezelés későbbi fázisában a szimmetria megteremtése érdekében eltávolításra kerül a bal felső maradó 4-es fog is és ezzel párhuzamosan különböző intermaxilláris gumihúzásokat vezettünk be.
Benjamin sportolókhoz méltő fegyelmének köszönhetően a kezelés végére egy esztétikailag és funkcionálisan is kimagasló eredményt érhettünk el.
A kezelés teljes időtartama: 2 év 3 hónap









