Esetbemutatás
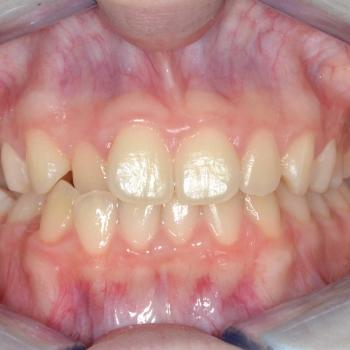
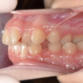
Inez és édesapja a felső metszőfogak esztétikai problémája, illetve keresztharapása miatt kerestek fel. Az első konzultáció alkalmával azonban fény derült a hátsó fogak keresztharapására, a felső és alsó középvonal eltolódására, illetve a jobb oldali Angle II-es eltérésre is egy nagyobb réssel kombinálva.
A kezelési terv ennek megfelelően a felső fogív tágítását, ideiglenes harapásemelést a keresztharapásban lévő kismetsző korrigálására, különböző gumihúzásokat, illetve az alsó és felső fogívre felhelyezett rögzített fogszabályozót tartalmazott.
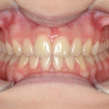
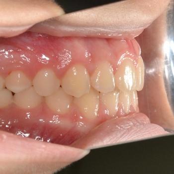
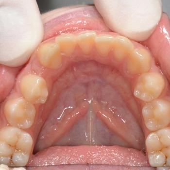
Inez fegyelmezettségének és a különböző készülékeknek hála a kezelés végére minden eltérést sikerült megoldani és egy funkcionálisan és esztétikailag is kifogástalan eredményt elérni.
A kezelés teljes időtartama: 1év 10 hónap









