Ugrás a tartalomra

Esetbemutatás

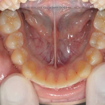
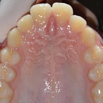
Mosolytár 17A
Kezelés előttKezelés után

Ákos és édesanyja talán az egyik legjobb korban, 11 évesen kerestek fel a felső fogív túlzott előredőlése miatt. Az első vizsgálat alkalmával, az említett problémán túl, asszimetrikus Angle II-es harapási eltérést diagnosztizáltunk (a bal oldalon 3mm-es, a jobb oldalon 6mm-es eltéréssel)

A kezelési terv nyaki húzású headgear-t, alsó és felső hagyományos fém fogszabályozót, illetve különböző intermaxilláris gumihúzásokat tartalmazott, melyeket Ákos nagy kitartással és utasításszerűen hordott.
Ennek eredményeként sikerült a felső metszőfogakat kellőképpen visszadönteni, illetve korrigálni a harapási eltérést is, ezáltal egy esztétikailag és funkcionálisan is szép eredményt elérni.

A kezelés teljes időtartama: 2.5 év

Share icon

Dr. Képes Dental

Fogszabályozás és esztétika egy helyen.

Várunk szeretettel az első konzultációdra!
Tegyünk együtt az új mosolyodért.

  1. Rendelések 1111 Budapest, Lágymányosi utca 7.
  2. Dr. Képes Dániel - Fogszabályozás
    H: 13:00 - 20:00, K, CS: 10:00 - 15:00, P: 13:00 - 20:00
  3. Csepregi Csilla - Dentálhigiénia
    K: 15:30 - 19:00, Cs: 15:30 - 18:00
  4. Dr. Bátki Péter - Esztétikai és minimál invazív fogászat
    K: 09:00 - 20:00
  5. Dr. Döbrentey Zsolt - Esztétikai és restauratív fogászat
    SZ: 12:00 - 19:00, CS: 09:00 - 19:00
  6. Térkép