Esetbemutatás
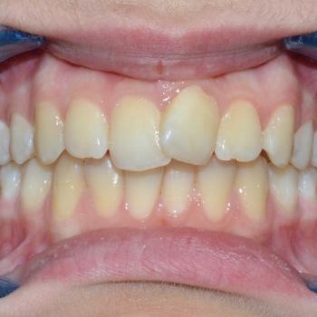
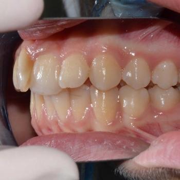
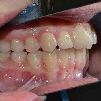
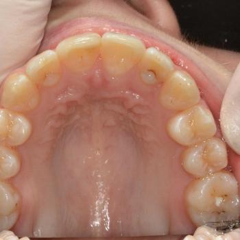
Eszter és édesanyja az iskolai fogorvosuk javaslatára kerestek fel, mert a kolléga, az esztétikai problémát okozó torlódás mellett, Angle II. osztályú funkciós eltérést is tapasztalt. Szerencsére ezeken felül egyéb eltérésre a konzultáció alkalmával sem derült fény.
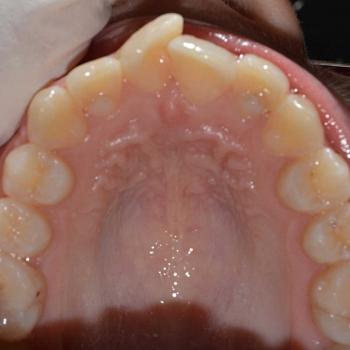
Eszter a kezelés megkezdésekor headgear típusú fogszabályozó készüléket kapott annak érdekében, hogy a felső nagyőrlőket hátrafelé mozgassuk, illetve, hogy a keletkező rést felhasználjuk a kisőrlők és a szemfogak hátramozdítására is. Az így felszabadult hely az Eszter által választott hagyományos fém fogszabályozó segítségével felhasználható volt a metszőfogak elrendezéséhez, azok túlzott előredőlése nélkül.
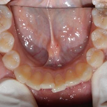
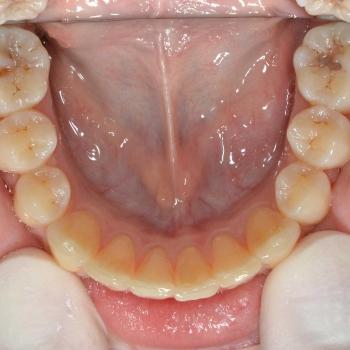
A kezelés eredményeként minden kiindulási problémát sikerült megoldani és egy esztétikailag és funkcionálisan is szép mosolyt létrehoznunk.
A kezelés teljes időtartama: 2év









