Esetbemutatás
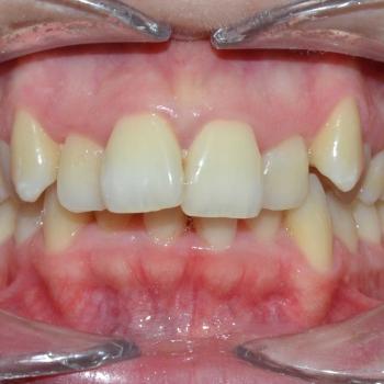
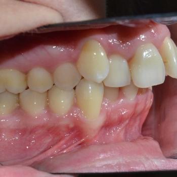
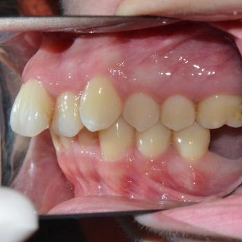
Tünde a felső fogív torlódása, illetve az alsó metszőfogak között található rések miatt keresett fel. Az első találkozásunk alkalmával azonban fény derült a középvonalak eltolódására, enyhe mélyharapásra, a felső metszőfogak túlzott elülső pozíciójára, illetve a régóta hiányzó alsó 6-os fog helyének beszűkülésére is, így a kezelési terv ezen problémák megoldására is kitért.
Tünde végül úgy döntött, hogy nem csak az esztétikai, de a funkciós problémák is szeretné megoldani, melyhez hagyományos fém fogszabályozót választott. A fogszabályozáshoz különböző kiegészítőket is igénybe vettünk úgy, mint harapásemelő, különböző intermaxillaris gumihúzások, illetve egy speciális szájpadi mini-implantátum a hozzá kapcsolódó transpalatinalis ívvel (hibrid transpalatinal ív), ami minimalizálta a hátsó fogak mozgását, miközben a felső metszőfogak hátrafele mozogtak.
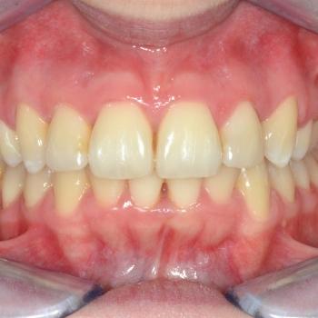
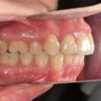
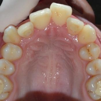
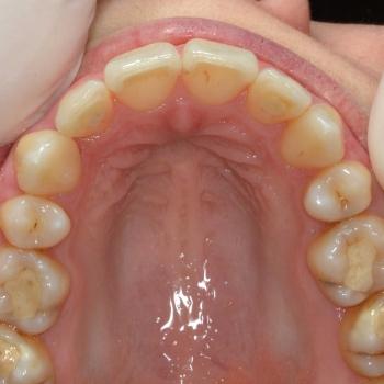
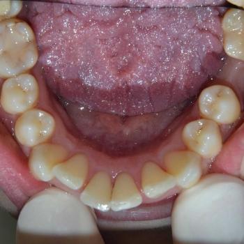
A kezelés végére minden problémát sikerült megoldanunk, a középvonalak korrekcióját leszámítva. Ennek ellenére, mivel a felső középvonal az arc tengelyében helyezkedik el, az esztétikai eredmény nem csorbult és a funkciót sem befolyásolta. A jobb alsó 6-os fog implantációs pótlása a fogszabályozás befejeztével kezdődött meg.
A kezelés időtartama: 2 év 6 hónap









